Preloader

Single-Sitting Root Canal Treatment

  1. Home
  2. Single-Sitting Root Canal Treatment

Save Your Natural Tooth with a Painless Root Canal

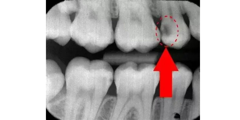
What is Root Canal Treatment?

Every smile tells a story, and at I Smile Dental Care, we’ve been helping Ahmedabad write theirs since 2011. For over a decade, we’ve been creating healthier, brighter smiles. With a clinic in Prahlad Nagar, we’ve earned the trust of thousands of families by combining cutting-edge dental expertise with warm, compassionate care.

Root Canal Treatment

When Do You Need an RCT?

Process

RCT Process At I Smile Dental Care

Digital X-ray & Diagnosis

We identify the infection and assess your tooth’s health.

Anaesthesia for Pain-Free Treatment

The area is numbed to ensure a comfortable and painless experience.

Cleaning &
Shaping

Infected pulp is removed, and root canals are cleaned and shaped.

Filling &
Sealing

Canals are filled with biocompatible material to seal them completely.

Tooth
Restoration

A dental crown is often placed to restore strength and function.

Root Canal Treatment

Why Choose Us for RCT?

Book Your Root Canal Consultation Today