Preloader

Services

  1. Home
  2. Services

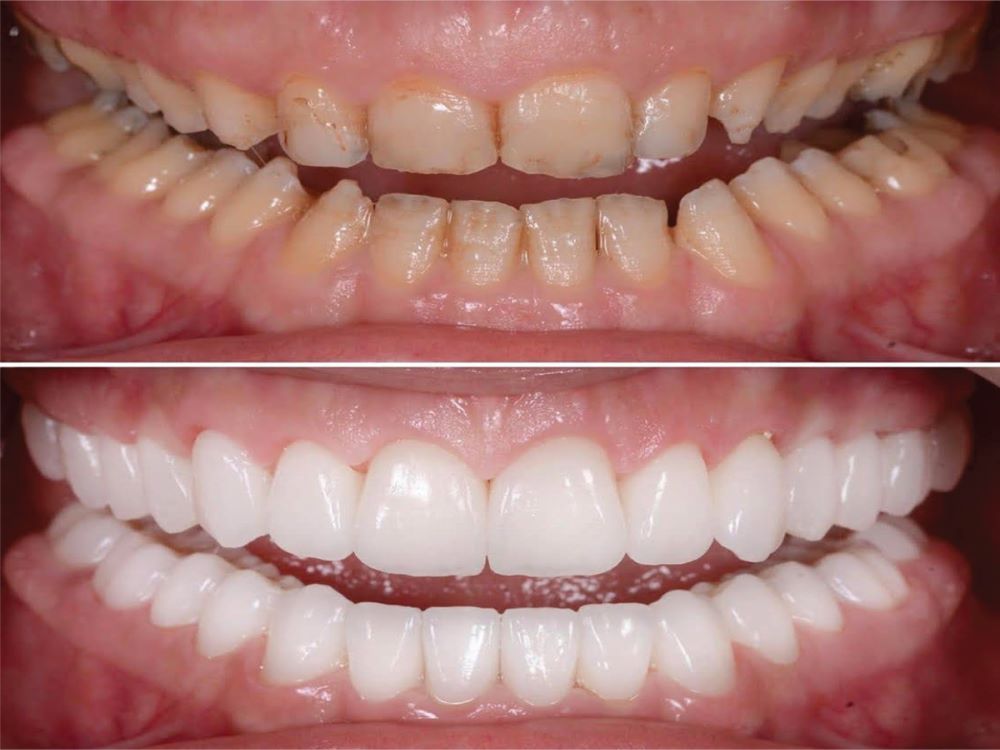
Our Services

Comprehensive Dental Care for Every Smile

At I Smile Dental Care, we offer a complete range of dental treatments to keep your smile healthy, beautiful, and confident. From preventive care to advanced cosmetic procedures, every service is delivered with precision, comfort, and compassion. Explore our treatments and find the care that’s right for you.

Single-Sitting Root Canal Treatment

Surgical Removal of Wisdom Teeth

Smile Designing/ Cosmetic dentistry

Tooth-Coloured Fillings

Guided Implants with Digital Dentistry

Implant-Supported Dentures

Zirconia Crowns & Bridges

Full-Mouth Rehabilitation

Pediatric Dental Care

Invisible Braces & Orthodontics

Gum Treatment / Periodontal Therapy

Teeth Whitening & Bleaching

Oral Cancer Diagnosis & Management

Oral Cancer Diagnosis & Management

Treatment for Oral Submucous Fibrosis (OSMF)

Testimonials

Listen from our happy patients

The goal of our clinic is to provide friendly, caring dentistry and the highest level of general, cosmetic, and specialist dental treatments. With dental practices throughout the world.

i’ve been going to i smile since i was 3 years old.. i’ve been going for regular checkups and removal of cavity and dr gaurang and dr riddhi treat patients with utmost care.. recently i had both of my wisdom teeth removed and the procedure was painless for me..

Shreya Gupta Patient

Both Dr. Gaurang and Dr. Ridhi are extremely professional and skilled at what they do. My dental procedure was smooth and pain-free, and I really appreciated their friendly and approachable manner. The overall atmosphere of the clinic is welcoming and trustworthy. Definitely a place I’d go back to!

Yash Patel Patient

Had an excellent experience at the clinic during my visit from the US. I was genuinely impressed by their clinical standards and how smoothly everything was managed. The facility is clean, modern, and equipped with advanced dental imaging

Vishmay Patel Patient

I visited I-Smile clinic for my dental procedure. I am originally from Rajkot. But got a reference for the I-Smile clinic and the amazing dentists there, Dr. Gaurang and Dr. Riddhi. Really glad to have my procedure done through them.

Vinil Matariya Patient

Brighter Smile Is Just A Click Away