Preloader

Invisible Braces & Orthodontics

  1. Home
  2. Braces(Orthodontics Treatment)

Beautify Your Smile with Braces

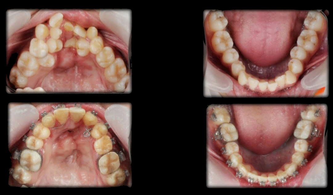
What Are Braces?

Braces are orthodontic appliances designed to correct crooked, crowded, or misaligned teeth, as well as bite issues such as overbite, underbite, or crossbite. By gently applying pressure, braces gradually move your teeth into proper alignment, improving both your smile and oral health.

Process

Types of Braces We Offer

Metal Braces

Traditional & reliable. These braces are strong, effective, and budget-friendly.

Ceramic Braces

Tooth-coloured brackets that blend naturally with your teeth for a more aesthetic and discreet look.

Lingual Braces

Placed behind the teeth, making them completely invisible from the front.

Clear Aligners

Custom-made, removable transparent trays that straighten your teeth without visible wires or brackets.

Braces

Who Needs Braces?

Braces

Why choose I-Smile for braces?

Ready to Transform Your Smile?