Preloader

Smile designing/ Cosmetic dentistry

  1. Home
  2. Digital Smile Makeover

Enhance your smile & confidence

What is Smile Designing?

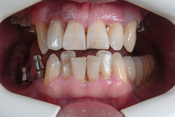
Smile Designing is a customized cosmetic dental treatment that combines artistry and advanced dental science to enhance the beauty of your smile. It focuses on improving the colour, shape, alignment, and overall harmony of your teeth, ensuring your smile perfectly complements your facial features.

Smile designing/ Cosmetic dentistry

What Your Smile Makeover May Include

Smile

Why Consider Smile Designing?

Discoloured, chipped, or worn teeth

Uneven
gum line

Gaps between
teeth

Misaligned or irregularly shaped teeth

Smile designing/ Cosmetic dentistry

Why Choose I-Smile Dental?

Boost Your Confidence with a Beautiful Smile